Kiến thức

Nơi tổng hợp kiến thức toàn diện về các bệnh lý răng miệng, phương pháp điều trị cũng như cách phòng ngừa và chăm sóc hiệu quả. Tại đây, bạn sẽ tìm thấy những thông tin hữu ích về các kỹ thuật nha khoa mới nhất và các mẹo hay để bảo vệ sức khỏe răng miệng cho cả gia đình.

Làm răng giả bao nhiêu tiền? Lựa chọn tối ưu cho người lớn tuổi tại nha khoa Mai Anh

Khi tuổi tác tăng cao, mất răng trở thành nỗi lo lớn, ảnh hưởng đến ăn nhai, thẩm mỹ và chất lượng cuộc sống. Làm răng giả là giải pháp thiết yếu để khắc phục vấn đề này. Vậy "làm ...

Trồng 1 cái răng bao nhiêu tiền? cập nhật bảng giá 2025

Câu hỏi "Trồng 1 cái răng bao nhiêu tiền?" luôn là mối bận tâm hàng đầu của những người có nhu cầu khôi phục răng đã mất. Hiện nay, có rất nhiều phương pháp trồng răng với mức chi ...

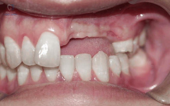
Trồng răng cửa cần chú ý những điều gì?

Răng cửa đóng vai trò vô cùng quan trọng trong thẩm mỹ khuôn mặt và chức năng phát âm. Việc mất răng cửa không chỉ gây ra những bất tiện trong giao tiếp mà còn ảnh hưởng đến sự tự ...

Các phương pháp trồng răng hàm phổ biến hiện nay

Trồng răng hàm không chỉ phục hồi hiệu quả chức năng ăn nhai mà còn giúp ngăn chặn những biến chứng tiềm ẩn do mất răng gây ra. Tuy nhiên, đi kèm với những lợi ích vượt trội, nhiều ...

Trồng răng có đau không? Mẹo giảm đau nhanh sau khi trồng răng

Trồng răng có đau không? Đây là câu hỏi phổ biến của nhiều người trước khi quyết định phục hình răng. Với sự phát triển của công nghệ nha khoa hiện đại, quá trình trồng răng đã ...

Trồng răng giá bao nhiêu? nên chọn phương pháp trồng răng nào?

Trồng răng giá bao nhiêu? Đây có lẽ là câu hỏi mà nhiều người đặt ra khi cân nhắc phục hồi răng mất. Chi phí trồng răng phụ thuộc vào phương pháp bạn chọn và tình trạng răng miệng ...

Bí quyết chọn bác sĩ làm răng sứ đẹp tại Gò Vấp

Hiện nay, nhu cầu làm răng sứ thẩm mỹ ngày càng tăng cao, đặc biệt tại các thành phố lớn như TP. Hồ Chí Minh nói chug và khu vực Gò Vấp nói riêng. Tuy nhiên, với sự xuất hiện dày đặc ...

Bác sĩ Mai Phương Nha khoa Mai Anh có uy tín không?

Bác sĩ Mai Phương nha khoa Mai Anh là một trong những chuyên gia hàng đầu trong lĩnh vực nha khoa thẩm mỹ, phục hình Implant tại khu vực Gò Vấp. Với kinh nghiệm phong phú và sự tâm ...

5 Điều cần lưu ý trước khi dán sứ Veneer để có nụ cười hoàn hảo

Dán sứ Veneer hiện đang là một trong những phương pháp thẩm mỹ nụ cười phổ biến nhất, đặc biệt là đối với những ai mong muốn sở hữu hàm răng đều đặn, trắng sáng mà không cần xâm lấn ...

Bọc răng sứ titan - Nên hay không?

Bọc răng sứ là một phương pháp phục hình thẩm mỹ đang rất được ưa chuộng tại Việt Nam. Trong số các loại răng sứ, răng sứ titan là một lựa chọn khá phổ biến bởi tính bền bỉ và mức chi ...
Gọi Hotline
Zalo Chat
Messenger
Xem địa chỉ
Lên đầu trang